▣ 폐렴 원인, 증상, 진단,치료법,좋은음식8가지

폐렴은 나이를 가리지 않고, 영유아부터 노인까지 다양한 연령에서 발병하는 질환이다. 폐렴은 제때 적절한 치료를 받지 못하면 급속하게 증상이 나빠지고, 다양한 합병증을 일으킨다. 노년층에서는 사망에 이를 수도 있다. 폐증상으로는 호흡기계 자극에 의한 기침, 염증 물질의 배출에 의한 가래, 숨 쉬는 기능의 장애에 의한 호흡곤란 등이 나타난다. 폐를 둘러싸고 있는 흉막까지 염증이 침범한 경우 숨 쉴 때 통증을 느낄 수 있다. 호흡기 이외에 소화기 증상, 즉 구역, 구토, 설사의 증상도 나타날 수 있다. 두통, 피로감, 근육통, 관절통 등 신체 전반에 걸친 전신 질환도 발생한다. 때로는 발열이나 오한을 호소하기도 한다. 지금부터 폐렴 원인,증상,진단,치료법, 좋은음식 8가지에 대해서 알아보자.
▣ 폐렴

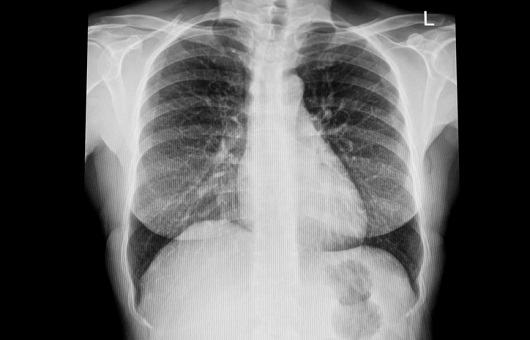
폐렴은 세균이나 바이러스에 의해 세기관지 이하 폐조직에 염증이 발생하는 감염성 질환이다. 일반적으로 발열, 기침, 가래와 같은 증상이 나타나며, 흉부 X-ray 사진에서 폐렴을 의심할 수 있는 소견이 확인된다.
▣ 폐렴 원인

바이러스, 세균, 진균(곰팡이) 등에 의한 경우와 음식이나 토물을 흡인했을 때, 부식성 화학약품이나 먼지 또는 가스를 흡입한 후에 발생한다. 감염원인은 대개 흡입에 의해 몸으로 들어오며, 만성 질환, 쇠약, 유아기, 노년기, 바이러스성 질환의 속발성 발병, 암, 흉부수술, 무기폐, 감기, 흡인 등이 있을 때도 폐렴이 발생할 수 있다. 그 중 폐렴구균은 지역사회에서 발병하는 폐렴의 가장 흔한 원인균으로 폐렴구균성 폐렴은 인플루엔자나 홍역의 합병증으로 발생한다. 예방접종이 가능하며 여러 유형의 폐렴구균에 효과적이며, 한 번 접종하면 대개 평생 면역된다.
▣ 폐렴 증상

폐렴의 주된 상은 발열, 기침, 객담 등이며 오한, 흉부통증, 호흡곤란이 동반되지만, 호흡기질환의 5대 증상인 기침, 객담, 객혈, 호흡곤란, 흉통 등이 모두 나타날 수 있어 증상만으로는 폐렴과 다른 질환의 감별은 어렵다. 폐렴환자는 호흡기증상 외에도 두통, 오심, 구토, 복통, 설사, 근육통 및 관절통 등이 다양하게 나타난다. 하지만 노인은 같은 정도의 폐렴이라도 젊은 사람에 비해 증상의 호소가 심하지 않은 경향이 있어 진단이 늦어질 수 있다. 객담은 흔히 누런색이나 녹색을 띄지만 암적색 또는 객혈 등으로 다양하게 나타나며 비정형폐렴은 객담의 배출이 별로 없는 편이며, 화농성균에 의한 전형적인 폐렴과 마이코플라즈마(Mycoplasma), 레지오넬라(Legionella), 클라미디아(Chlamydophila)가 원인균인 비정형폐렴은 증상이나 진찰소견만으로는 구별이 어렵다. 경우에 따라서는 병력에 의해 폐렴의 원인균을 추측할 수 있어 경험적 항균제 처방에 도움이 된다.오염된 냉각수, 대형 매장에서 야채의 신선도를 높이는 분무액, 병원이나 호텔의 오염된 물 등에 노출된 병력이 있으면 레지오넬라 폐렴을 의심한다.
▣ 폐렴 진단

증상과 진찰 소견으로 의심이 되면 흉부 X선 촬영을 하여 폐렴에 합당한 음영증가가 관찰될 때 진단을 하게 된다. 원인균 확인을 위해 객담검사, 혈액배양검사, 혈청검사, 소변 항원 검사를 시행하며 염증정도의 파악을 위해 혈액검사를시 행하며, 때로는 흉부 전산화 단층촬영(CT)이 필요한 경우도 있으며 합병증으로 흉막염이 생긴 경우에는 미세침을 흉강 내로 찔러서 염증액을 뽑아 검사를 시행하는 흉막천자술이 필요하기도 한다.
▣ 폐렴 치료방법
- 산소요법
산소요법은 조직에 산소를 충분하게 줄수 있는 가장 좋은 방법으로 폐수종을 방지하며 불안과 기침 및 복부 팽만을 완화한다. 산소요법이 필요한 경우는 호흡곤란, 쇠약, 섬망증, 호흡시 통증 등이 있다.
- 안정
급성기에는 정신적으로 또한 육체적으로 충분한 안정을 취하는것이 좋다. 운동이나 움직임은 환자를 피로하게 하고 산소의 요구를 증가시킨다.
- 항생제 치료
폐렴이 의심되거나 확진되면 항생제 처방이 필요하다. 원인균에 대한 검사를 하지만 결과가 나오는데 수일이 걸리며, 검출율이 높지 않고 또 다수의 병원에서는 배양이 용이하지 않은 관계로 항생제는 경험적 항생제 치료에 의존하게 된다. 통상적으로 항생제는 7~10일 투여하지만 원인 미생물, 환자 상태, 항생제의 종류, 치료에 대한 반응, 동반 질환 및 폐렴 합병증 유무 등에 따라 달라질수 있다. 일반적으로 5일이상 치료하며, 치료 종료를 위해서는 48~72시간 동안 발열이 없어야 하고, 치료 종료 전 임상 징후 중 1개 이상이 남아 있으면 안되며 반감기가 긴 항생제는 3 ~ 5일만으로도 치료가 된다.
- 충분한 수분섭취
폐렴 환자는 열이 높고 과도 환기와 땀을 많이 흘리고 분비물의 배출이 증가한다. 구토와 설사증상이 나기도 하며 그로 인한 체액의 손실이 많다. 따라서, 수분의 섭취는 매우 중요하다. 충분한 수분을 섭취하는 것은 체액불균형을 막을 뿐만 아니라, 기도 분비물의 배출도 용이하게 한다.
▣ 폐렴에 좋은 음식 8가지
1. 배즙

배즙은 갈증을 해소시키고 열을 내리게 하며 기침과 가래를 삭혀주는 작용을 한다. 오래된 해소, 천식에 장기간 복용해도 좋으며 약을 먹을 수 없는 유아 등에게도 효과적이다.
2. 수세미

수세미는 성질이 차서 몸에 열이 많아 생기는 가래를 삭히고 뜨거운 피를 식혀 줌으로써 혈액순환을 촉진시키고 소염작용을 한다. 수세미 덩굴에서 얻은 즙은 자연의 천식 치료약으로도 알려져 있다.
3. 도라지

도라지는 약간 따뜻한 성질에 호흡기 질환에 사용되는 대표적인 한방 약재로서 고름을 빼내는 작용이 뛰어나다. 특히 도라지 속에 들어있는 사포닌은 기관지의 분비기능을 항진시켜 가래를 삭히고 목이 아플 때에 효능을 발휘한다.
4. 감

잘 익은 감을 그대로 먹거나 곶감을 먹어도 좋은 효과를 볼 수 있다. 감은 몸을 식히고 폐를 보호해 주며 곶감 표면의 흰가루에는 진해작용을 하는 성분이 들어 있다.
5. 모과

모과는 목 질환에 효과적으로 한방에서는 감기, 기관지염, 폐렴 등으로 기침을 심하게 하는 환자에게 모과를 약으로 사용하고 있다. 다만 소변의 양이 줄어들므로 이 점은 주의해야 한다.
6. 무즙 매실차

무는 비타민C 등 다양한 영양소와 수분이 풍부해 기침과 가래를 제거해주는 기능을 한다. 특히, 무는 매실과 함께 차로 우려먹었을 경우 더 효과적이다. 매실은 살균, 해독기능이 탁월해 기도의 염증을 가라앉히기 때문에 이때, 무는 알맹이보다 껍질에 비타민C가 약 2배이상 들어있으므로 껍질까지 갈아 마시는 것이 좋다.
7. 호박

호박에는 비타민C와 비타민A가 풍부하게 함유되어 있어 기관지의 점막을 튼튼하게 만들어 주며 폐렴 초기 증상을 예방해주고 영양공급이나 체력 유지에도 많은 도움을 주는 음식이다. 기침이 심할 경우 꼭지가 싱싱한 늙은 호박의 꼭지 주위를 둥글게 도려낸 뒤 속을 파내고 꿀을 부어 푹쪄서 섭취하면 폐렴에 효과를 볼수 있다.
8. 감귤

감귤은 구연산과 비타민C가 풍부하게 함유되어 있어 염증 반응을 억제하고 미세먼지로 인해 기관지 건강과 감기 예방에 도움을 준다. 귤껍질에는 비타민C가 과육에 비해 4배 이상 많이 함유되어 있으므로 껍질을 말려 차로 끓여서 섭취하면 더욱 좋다.
'건강정보' 카테고리의 다른 글
| 안검하수 원인,증상,자가진단,수술법,예방법3가지에 대해서 알아보자. (1) | 2022.09.22 |
|---|---|
| 독감 원인,증상,예방접종시기,예방법에 대해서 알아보자. (1) | 2022.09.21 |
| 포도막염 원인,증상,진단,치료에 대해서 알아보자. (0) | 2022.09.19 |
| 만성위축성위염 원인,증상,치료법,좋은음식10가지에 대해서 알아보자. (0) | 2022.09.18 |
| 항문농양 원인,종류,증상,치료법,수술후주의사항 (1) | 2022.09.17 |
댓글