▣ 건선 원인,종류,증상,치료법,예방법에 대해서 알아보자.

건선은 1000명중 1명꼴로 남성이 여성보다 많이 보이며, 유아부터 노인까지 누구든 생길수 있지만, 남성은 30대에 여성은 10~50대에 많이 나타나며 건선은 감염시키는 질환은 아니다. 건선은 붉은 반점과 각질이 나타나는 만성 염증성 피부질환인 우리 몸 속 면역계에 이상이 생길 때도 나타난다. 심하면 초기에 없던 가려움증이나 진물, 열감 등 다양한 증상이 발현되고 고혈압, 당뇨병, 염증성장질환 등 대사성, 심혈관계 질환이 동반될 수 있어 주의가 필요하다. 피부에 하얗게 각질이 일어나는 건선은 단순한 피부 질환으로 생각하기 쉽지만 면역체계와 밀접하게 연관돼 있는 면역질환으로 분류된다. 건선은 피부 질환 외에 심장 건강이나 콜레스테롤 수치, 면역체계 등에 골고루 관여한다. 지금부터 건선 원인,종류,증상,치료법,예방법에 대해서 알아보자.
▣ 건선

건선은 피부가 은백색의 비늘로 덮이고 이상과 정상의 경계가 뚜렷하며 크기가 다양한 붉은색 구진과 판이 나타나는 것이 특징이다. 또한 반복적으로 악화되고 나타나는 만성적이고 심한 가려움과 염증, 각질 발생 등등의 다양한 문제가 전체적으로 나타나는 피부질환이다. 발생 부위는 팔꿈치와 무릎, 엉덩이, 두피, 손과 발, 손톱과 발톱에도 나타날 수 있다.
▣ 건선 원인

건선이 생기는 원인은 아직 밝혀지지 않았지만 면역세포 중 하나인 T보조세포가 활성화되면서 여러가지 면역물질이 분비되면서 피부 세포가 정상보다 빠르게 증식된다. 그래서 완전하게 성숙되기도 전에 피부세포의 각질이 겹겹이 쌓여 건선이 된다. T보조세포가 활성화되면 정상인보다 건선환자의 주기는 5~8배정도 빨라져 나타날수 있으며, 약물, 피부의 건조한 타입, 스트레스, 식습관, 비만, 생활환경, 체질 등으로 인해 나타날수 있다.
▣ 건선 종류
- 판상 건선

넓은 판처럼 모양이 커져있는 것을 의미하며 몸통이나 팔, 다리를 완전히 덮을 정도로 심해진 상태이다. 여러 종류 중 가장 흔하게 관찰되는 형태이고 만성적으로 이어지는 분들의 경우 심상성 건선이라고 부르기도 한다.
- 화폐상 건선

물방울 크기에서 조금 더 홍반이 커져 100원~500원 동전 크기로 붉은색이 커진 형태로 동전 모양을 이루고 있다고 해서 화폐상건선이라고 부른다. 이 무렵부터 인설이 더욱 뚜렷하게 관찰될수 있으며 인위적으로 환부를 건드리지 않도록 주의가 필요하고 치료도 적극적으로 진행하시는것이 좋다. 더 시간이 경과하면 화폐상건선이 더욱 커져 판상 건선으로 확대 될수 있다.
- 농포성 건선

드물게 보이는 형태로 농포가 생겨나거나 진물이 나오면서 가려움이 매우 심할수 있다. 일부에서 증상은 오한, 고열, 관절통 등이 심하게 나타난다.
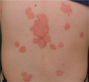
- 적상건선(물방울 건선)

보통 0.5~1.5cm 크기 내외의 크고 작은 홍반이 마치 작은 물방울처럼 관찰되며 편도선염, 인후염 등 호흡기 관련 질환을 앓은 후 생기는 사례가 흔히 관찰된다. 초기 환자에서 주로 관찰되며 더 시간이 지나면 점차 홍반이 넒어짐으로써 화폐상 건선으로 변화될수 있다. 환자의 혈액검사에서 연쇄상구균 독소에 대한 항체 수치가 증가할수 있다.
- 홍피성 건선

전신을 붉게 물들이는 것이 특징으로 갑자기 발병해서 순식간에 악화될수 있으며 면적이 넓어 외적 변화로 인한 심한 스트레스를 유발할수 있고 삶의 질을 많이 저하시킬수 있다. 빨갛게 뜨거워지면서 끊임없이 각질이 벗겨지며 체액이 빠져나가 체온 조절에도 어려움을 겪을수 있다. 인설이 심하게 벗겨져 악화되면 박탈성건선으로 악화되며 이것 역시 빠르게 변화가 생기기 때문에 적극적으로 치료가 필요하다.
▣ 건선 증상
- 피부

피부병변은 주위와 분명하게 구별되는 홍반성 구진과 판이 나타나며, 은색의 하얀 비늘 같은 인설이 겹겹이 쌓이게 된다.
- 관절

전선 환자의 약 5~10%에서 관절염이 동반되기도 하며, 주로 손가락, 발가락의 원위 지관절을 비대칭성으로 침범한다. 혈청음성 류마티스 관절염 양상은 손가락관절이 파괴되기도 하고 척추만 침범하는 천장골염 및 척추염이 나타나기도 한다.
- 손톱

건선 환자의 절반은 손톱이 비후하고 잘 부스러진다. 손톱에 작은 구멍이 나거나, 손톱이 조갑상에서 분리되거나 손톱 발육이 원활하지 못하며, 손톱 아래 과각화증이 올 수 도 있고 손톱이 연한 갈색으로 변하기도 한다.
▣ 건선 치료법
- 광 치료법
건선은 햇빛에 의해 치료 효과를 볼 수 있는 대표적인 피부 질환 중 하나로 종종 여름에 호전되는 경향을 보이는데 그 이유가 바로 햇빛 속의 자외선 때문이기도 하다. 광 치료법 역시 건선이 생긴 부위에 광선을 쪼여 건선을 치료하는 방법으로, 자외선 B를 방출하는 인공등을 만들어 환부에 쪼이는 방법이다. 최근 광 치료법은 단일 파장 자외선 B와 같은 치료 기구의 개발로 더욱 발전하고 있다.
- 국소 치료법
연고나 로션, 겔 형태의 피부에 직접 바르는 국소치료제는 건선 환자의 필수 치료제로서, 건선 환자의 증상 조절에 가장 먼저, 그리고 가장 많이 사용된다. 특히 국소치료제를 잘 활용하는 경우 가벼운 건선은 다른 치료 없이 단독으로도 좋은 효과를 보는 경우가 많으며, 특히 건선 환자가 소화 장애나 간, 신장 장애 등 전신 질환이 있을 때에는 전신 치료법(먹는 약) 대신 국소치료법(바르는 약)을 사용하는 것이 보다 안전하고 효과적이다.
- 전신 치료법
전신 치료법은 경구약을 복용하는 치료법으로 국소 치료제 또는 광치료(UV)에 반응이 없거나 부작용이 생긴 환자에게 권고되는 치료법이다. 일반적으로 전신 치료법에는 합성 비타민 A 제제인 레티노이드나, 사이클로스포린,메 토트렉세이트와 같은 약물을 사용한다. 하지만 이러한 면역억제제는 신장독성 또는 간독성을 유발할 수 있기 때문에 주의해서 사용해야 한다.
▣ 건선 예방법

건선은 치료 외에도 건조한 피부를 개선해야 하므로 피부의 수분 유지를 위한 보습제 사용이 매우 중요하다.보습제는 건선 환자의 피부 장벽을 회복시켜 염증반응과 각질을 감소시키며 각질이 감소하면 다른 국소 치료제의 병변 내 침투를 증가시켜 간접적으로 치료 효과를 높일 수 있다. 또한 피부가 갈라져서 아픈 증상이나 피부 건조로 인한 가려움증을 완화시킨다. 현재 건선 환자의 30~70%에서 스트레스와 건선 발병의 연관성이 있다는 연구 결과가 있듯이, 정신적인 스트레스를 겪은 후 건선이 재발하거나 악화되는 경우가 많습니다. 그러므로 스트레스에 적절하게 대처해 스트레스를 피하는 것이 좋다. 또 육체적 과로도 건선을 악화시킬 수 있으므로 적당한 휴식이 필요하다. 흡연자는 건선 발병 위험이 높고, 금주를 할 경우 건선의 경과가 호전되는 양상을 보이므로 술, 담배는 피해야 한다.
'건강정보' 카테고리의 다른 글
| 다한증 원인, 종류, 증상, 치료방법, 예방법에 대해서 알아보자. (0) | 2022.08.31 |
|---|---|
| 한포진 원인,증상,자가진단,치료방법,예방법,한포진과 주부습진 차이점,좋은음식 (0) | 2022.08.30 |
| 종기 원인,증상,치료방법,민간요법치료,좋은음식에 대해서 알아보자. (0) | 2022.08.28 |
| 지루성 피부염 원인,증상,자가진단테스트,치료법,식습관에 대해서 알아보자. (0) | 2022.08.27 |
| 모낭염 원인,증상,치료방법,예방법에 대해서 알아보자. (0) | 2022.08.26 |
댓글